¿Pero no habíamos quedado en que los implantes son tornillos? Pero qué me estás contando...
Este artículo viene muy al caso porque recientemente hay cada vez más personas que nos hacen esta pregunta. Pero... ¿realmente hay implantes sin tornillos? ¿qué es lo que estás buscando exactamente?
AVISO: Va a haber tornillos, aunque a lo mejor no los que te esperas
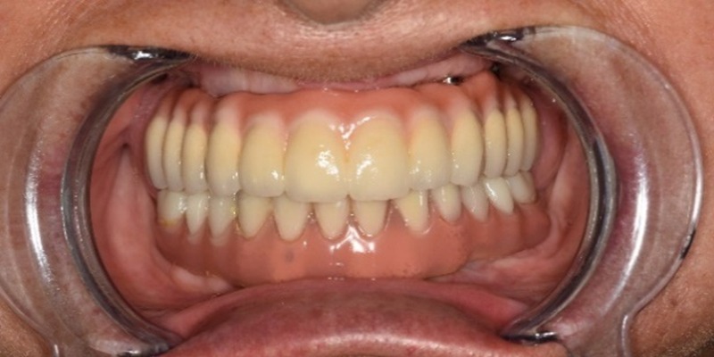
Dicen que una imagen vale más que mil palabras, así que casi vamos a empezar por ahí y a partir de ahí después comentamos

Como bien puedes comprobar, si te fijas, en la foto hay tornillos. Muchos tornillitos de hecho. Las cabezas de estrella no engañan.
Si ahora mismo la sensación que tienes es de que te han timado, te comprendo perfectamente. Si tu máxima condición para hacerte algo en la boca, es que no entrasen tornillos de ningún tipo en la ecuación, este es un buen momento para dejar de leer, investigar, etc. Si tu situación es tal que necesitas una prótesis dental porque tienes pocos o ningún diente y lo que querías encontrar es algo que fuese fijo, es decir, que no se moviese, pero que no lleve tornillos; tu única opción a día de hoy es hacer una prótesis de quitar y poner de las de toda la vida y punto. No hay más. De verdad de la buena.
Si no es así y realmente es esto lo que estabas buscando, de lo que alguien te había hablado a lo mejor, o simplemente tienes curiosidad por ver qué ventajas pueden ofrecerte los novedosos implantes dentales subperiósticos, te invito a que sigas leyendo porque a lo mejor sí que te interesa.
No te preocupes. Sucede hasta en las mejores familias. De hecho muchas personas tienen poco hueso, o tendencia a perderlo más rapidamente por genética. Aquí no vamos a solucionar eso obviamente, pero si que vamos a aportar una buena solución para que también tú o tu familiar si es el caso, podáis disfrutar de una dentadura fija con todas las garantías.
Aquí lo importante es que sepas que cuando hablamos de implantes subperiosticos estamos hablando de una solución de implantología avanzada para, aprovechando los avances técnicos en el diseño de implantes anatómicos personalizados, poder ofrecerte una alternativa rápida y segura para que puedas llevar una dentadura atornillada fija, incluso si no tienes apenas encía o si has perdido tanto hueso de los dientes que te han dicho que en tu caso es imposible o sólo haciendo complicadas cirugías, injertos y largos tiempo de espera. Aquí es donde entra este novedoso tratamiento. Que además, tiene todo el sentido.
Muy simple. Partimos de que no tienes ningún diente (o casi) y de que tienes muy poco hueso. Y de que te gustaría poder tener una dentadura completamente fija, que no se mueva para nada a la hora de masticar, sonreír, etc.


Pero es que si no tienes dientes y no quieres tornillos, tampoco vas a poder realizar otro tipo de dentadura que no sea de quitar y poner, apoyada en la encía. Ya te le decíamos al principio
Lo que también está descartadísimo es eso de que estos implantes sean "sin cirugía", pero que magicamente aparezacan colocados por debajo de la encía y por encima del hueso, y todas esas historias que no cuadran ni lo más mínimo. Milagros a Lurdes.
Sobre todo, que te hagan perder el tiempo
A partir de 12.560€. Va a depender del tipo de prótesis final que se elija. Incluímos también los honorarios del anestesista y demás gastos asociados
Los implantes subperiósticos son estructuras metálicas que se diseñan de manera personzalizada a partir de las imagenes radiográficas del paciente y que se colocan por debajo de la encía, sobre el hueso maxilar. Sirven para soportar una prótesis dental fija en pacientes que han perdido mucho hueso o encía.
Si has perdido todos o muchos dientes, crees que tienes poco hueso o ya te lo han dicho alguna vez, y quieres tener una dentadura fija sin demasiadas complicaciones; esto puede ser para tí.
Siempre hay que ver caso a caso. Una alternativa, también dependiendo de la edad y de otros factores puede ser regenerar el hueso. Otras opción son los implantes zigomáticos, de los que también hablamos en otro artículo. Pero también hay casos donde hay poco hueso y podemos colocar implantes dentales tradicionales de manera poco invasiva. Lo mejor es que nos consultes tu caso directamente.
En este caso incluso menos aún menos de lo habitual. Dado que preferimos realizar el procedimiento de manera rutinaria bajo sedación, lo más probable es que no notes ni el pinchacito del principio. Después en casa vas a estar tomando una medicación durante los primeros días. Puede inflamar un poco la cara, sobre todo los 2-3 primeros, pero es más inflamación que otra cosa. Lo que es dolor vas a tenerlo perfectamente bajo control mayormente.
Primero habría que ver por qué ese rechazo. A lo mejor tienes alguna idea preconcebida o te han hablado de alguien al que le pasó no se que historias en nosequesitio y la cosa va por ahí. O a lo mejor tienes miedo de que te duela o el concepto de un tornillo roscandose en el hueso te resulta perturbador de imaginarlo. En nuestra experiencia la mayor parte de la gente que ha pasado por lo mismo que tú la primera vez, al terminar ya el mismo día, nos reconoce que no era para tanto.
Aaamigo. Si ya te entiendo, pero lamentablemente con eso ya no podemos hacer nada. El precio de este tratamiento es el que es y en todo caso lo que te podemos y siempre haremos, es recomendarte alternativas. Pero si te lo puedes permitir, el resultado en calidad de vida, estética y en todo de este tratamiento, bien lo vale el precio que pagas.
Si. Concretamente podemos ayudarte con la financiación del tratamiento en varios plazos a través de una entidad bancaria colaboradora. También puedes beneficiarte de un descuento por pronto pago.
Llámanos para reservar una cita en el botón de abajo y valoraremos tu caso desde 0 sin compromiso. Empieza a ganar en calidad de vida de una vez. Y sobre todo no te quedes con la duda .